Про це розповів завідувач відділення кардіології та реперфузійної терапії Центру серця та судин лікарні Святого Пантелеймона Василь Процько.
“Вчора ввечері до нашої клініки потрапив чоловік із блискавичним розвитком тромбоемболії легеневої артерії — стану, який у багатьох випадках забирає життя за лічені хвилини. Другий – військовий, який лікувався в хірургічному відділенні з приводу мінно-вибухової травми та сьогодні отримав важку масивну тромбоемболію легеневої артерії”.

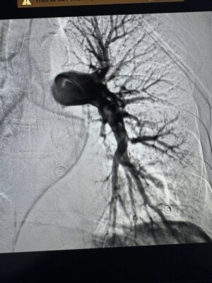
Команда фахівців вирішила провести малоінвазивну ендоваскулярну тромбаспірацію — процедуру, що дозволяє механічно видалити тромб із легеневої артерії без відкритої операції. Методика, яку лікарі нещодавно освоїли на конгресі інтервенційних радіологів у Барселоні, виконувалась під рентгенконтролем за допомогою катетера та спеціальної системи аспірації.
Завдяки швидкому рішенню лікарів та сучасним технологіям, вдалося врятувати життя двом пацієнтам, стан яких був критичним. Уже через кілька годин після втручання обидва пацієнти стабілізувалися та продемонстрували позитивну динаміку.

«Ми довели, що Львів має не лише серце, яке допомагає, але й серця, які рятують», — наголосив Василь Процько і підкреслив, що це перші успішні тромбаспірації при ТЕЛА у Львові.
Цей крок став важливим досягненням у розвитку української медицини та впровадженні світових стандартів лікування.
Коментарі